Всяка всячина в Львові
Брекети, елайнери, ортодонт, Львів в DentalKnysh.
У нас сімейна клініка та власне приміщення, тому в ціну не закладено оренди приміщень, отже наші ціни на нижньому рівні ринку на якісні послуги.
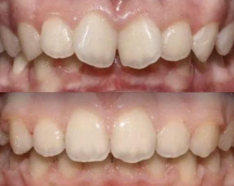
Виправлення прикусу за допомогою брекетів або прозорих капп елайнерів, вирівняння зубів у дітей та дорослих.
Маємо інтраopальний сканер, тому ви зможете заздалегідь побачити кінцевий результат лікування.
Спеціалізуємось на:
- ортодонтії (дитяча, доросла),
- ортопедії (коронки, мости, протези, вініри),
- імплантації зубів.
Ціна брекетів від 355 у.о.
Телефонуйте, пишіть, заходьте на одноіменний сайт або безпосередньо в клініку на Стуса, 24.
Тел.: (099) 461-97-05.
Дополнительная информация на сайте dentalknysh.com.ua
Дії з оголошенням #1738536
Поділіться з друзями і знайомими
Поділіться оголошенням Брекети, елайнери, ортодонт Львів з друзями, знайомими, потенційними клієнтами, використовуйте для цього соціальні мережі, месенджери. Це додасть оголошенню популярності і ефект багаторазово підвищиться.
Збережіть або повідомте про порушення
- На сайті з: 01.08.2023
- Активність: 01.08.2023
Поради з безпеки
- Познайомтеся з продавцем в публічному місці
- Перевірте товар перед покупкою
- Сплачуйте лише після того як переконаєтеся, що товар відповідає опису і вашим вимогам
- Бажано провести операцію при свідках
QR-код сторінки
Поділіться QR-кодом в соціальних мережах, чатах, месенджерах щоб ваші знайомі, потенційні клієнти відкрили ваше оголошення на своїх смартфонах.
Казахстан
Україна
Узбекистан
Молдова